Genel Bakış
  •  
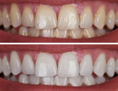
DİŞ BEYAZLATMA

Diş Beyazlatma Nedir?

Diş beyazlatma, lekeleri ve renk bozukluklarını gidererek doğal dişlerin rengini açan kozmetik bir diş işlemidir. İşlem genellikle, istenen sonuçlara ulaşmak için bir veya daha fazla seansta, bazen özel bir ışıkla aktive edilen beyazlatıcı maddelerin uygulanmasını içerir. Lütfen beyazlatma tedavilerinin yalnızca doğal dişlerde etkili olduğunu ve kronların, kaplamaların veya protezlerin rengini değiştirmediğini unutmayın.

Türkiye, özellikle diş beyazlatma işlemlerinde kapsamlı deneyim ve en son teknolojik gelişmeleri sunan, diş tedavisi için önde gelen bir destinasyondur. Tülay Akkol Dental'de, olağanüstü sonuçlar sunmak için yüksek kaliteli bakımı uygun maliyetli çözümlerle birleştiriyoruz. Türkiye'de diş bakımı arayan hastalar, uygun fiyatlarla kişiselleştirilmiş hizmet, gelişmiş teknikler ve olağanüstü sonuçlar bekleyebilirler.

Profesyonel Diş Beyazlatmanın Avantajları

  • Uzun Vadeli Sonuçlar
    Profesyonel diş beyazlatmanın etkileri, evde mükemmel diş bakım alışkanlıklarıyla birleştirildiğinde uzun vadelidir.
  • Güvenli ve Güvenilir Tedavi
    Reçetesiz satılan diş beyazlatma ürünleri diş etlerinize zarar verebilir ve diş hassasiyetini artırabilir. Öte yandan, profesyonel diş beyazlatma, beyazlatıcı maddelerin gücünü dikkatlice kontrol eden ve ağzınızı olası zararlardan koruyan nitelikli diş hekimlerinin gözetiminde yapılır.
  • Basit Bir Beyazlatma İşlemiyle Daha Hızlı Sonuçlar
    Dişleriniz, diş hekiminiz tarafından basit, bir saatlik bir seansta profesyonel olarak beyazlatılabilir; bu da reçetesiz satılan ürünlere kıyasla daha hızlı ve etkili sonuçlar sağlar. Bu, evde tekrarlanan uygulamalara olan ihtiyacı ortadan kaldırır ve daha güvenli, daha konforlu bir deneyim sağlar.
  • Gülümsemeniz İçin Doğal Parlaklık
    Renk bozukluğu veya düzensiz dişler bazen insanların gülümseme isteğini azaltabilir. Oysa gülümsemek, nasıl hissettiğimiz ve başkalarıyla nasıl etkileşim kurduğumuz konusunda önemli bir rol oynar. Profesyonel diş beyazlatma gibi tedaviler, doğal bir parlaklığı geri kazandırmaya yardımcı olabilir ve bu da zamanla daha sağlıklı bir özgüven duygusunu destekleyebilir.

Diş Lekelerinin Nedenleri Nelerdir?

Diş lekeleri çeşitli nedenlerden kaynaklanabilir. Bazı renk değişimleri, yaşa bağlı değişiklikler, bazı tıbbi durumlar veya dişlerdeki yapısal sorunlar gibi kontrolümüz dışında olan faktörlerden kaynaklanır. Bununla birlikte, sigara içmek, çay veya kahve içmek, bazı yiyecekleri tüketmek ve yetersiz ağız hijyeni gibi yaşam tarzı faktörleri de önemli rol oynar.

Randevu Almak
İçin Formu Doldurun!

İşlem Ayrıntıları

Diş Beyazlatma Çeşitleri

  • Butik Diş Beyazlatma
    Bu, diş yüzeyini aşındırmadan veya zarar vermeden dişlerinizin doğal rengini açmak ve gülümsemenizi güzelleştirmek için tasarlanmış evde kullanım için bir beyazlatma kitidir.

    2 ila 4 haftalık bir süre boyunca, beyazlatma jeli, yumuşak ve rahat takılabilen, özel olarak yapılmış ince, şeffaf tepsilere bir şırınga kullanılarak uygulanır. Bu tepsiler genellikle günde 4 saat veya gece boyunca takılır. Jel, mineye oksijen salarak dişleri kademeli olarak beyazlatan bir beyazlatıcı madde olan %10 karbamid peroksit içerir. Tedavi sırasında hassasiyeti azaltmak için potasyum nitrat da eklenmiştir.
  • Philips Zoom
    Zoom beyazlatma, dişleri etkili bir şekilde beyazlatarak doğal maksimum beyazlıklarına yakın bir seviyeye ulaşmalarına yardımcı olur. İşlem FDA onaylıdır ve genellikle yaklaşık bir saat sürer.

    Başlangıçta, dudaklar ve diş etleri dikkatlice korunarak sadece dişler açıkta bırakılır. Daha sonra dişlere profesyonel kalitede bir beyazlatma jeli uygulanır ve özel bir LED ışık kullanılarak aktive edilir. Jel ve ışık birlikte mine tabakasına nüfuz ederek yüzey lekelerini ve renk bozukluklarını giderir. Uygun ağız hijyeni ve ara sıra yapılan rötuşlarla, Zoom beyazlatmanın sonuçları bir yıla kadar sürebilir.
  • Evde Kullanılabilen Diş Beyazlatma Plakları
    Tülay Akkol Dental'de, dişlerdeki yüzey lekelerini gidermek için alternatif bir tedavi yöntemi olarak, talep üzerine evde kullanabileceğiniz beyazlatma plakları sunuyoruz. Bu plaklar kişiye özel veya hazır olarak üretilebilir ve tedavinin etkinliği her hastanın kendine özgü diş özelliklerine bağlı olarak değişebilir. En iyi sonuçları elde etmek ve beyazlatma jelinin diş etleriyle temas etmesini ve tahrişe neden olmasını önlemek için doğru uyum çok önemlidir.
İŞLEM

Diş Beyazlatma İşleminin Adımları

Diş beyazlatma işlemi üç ana adımdan oluşmaktadır:

  • 1. Adım
    Beyazlatıcı jel uygulanmadan önce, dişlerinizdeki plak, tartar ve yüzey lekeleri profesyonelce temizlenir. Ardından, tahrişi önlemek için diş etleriniz ışıkla sertleşen koruyucu bir bariyerle kaplanır ve bölgenin kuru ve erişilebilir kalması için yanak retraktörü yerleştirilir.
  • 2. Adım
    Beyazlatıcı jel dişlerinizin ön yüzeylerine uygulanır. İhtiyaçlarınıza bağlı olarak, konsantrasyon ve uygulama sayısı değişebilir. Daha sonra jeli aktive etmek ve beyazlatma etkisini artırmak için özel bir LED veya lazer ışığı kullanılır.
  • 3. Adım
    Beyazlatma işlemi tamamlandıktan sonra jel tamamen temizlenir ve ağzınız durulanır. Ardından diş hekimi sonuçları inceleyecek, işlem öncesi ve sonrası renk tonlarını karşılaştıracak ve herhangi bir hassasiyet olup olmadığını kontrol edecektir. Gerekirse, işlem sonrası bakım veya ek seanslar için önerilerde bulunulabilir.
Kurtarma ve Görünüm

Diş Beyazlatma Sonrası Diş Bakımı Nasıl Yapılır

Diş beyazlatma sonrası bakım basit ama sonuçlarınızı korumak için çok önemlidir. Tedaviden sonra, daha parlak gülümsemenizin mümkün olduğunca uzun süre kalmasını istemeniz doğaldır. Doğru bakım, erken lekelenmeyi önlemeye ve beyazlatmanın etkilerini uzatmaya yardımcı olur. Özellikle ilk 24 saat önemlidir, çünkü dişler bu dönemde renk değişimine daha yatkındır.

Aşağıda ameliyat sonrası bakım için bazı öneriler bulunmaktadır:

  • Renkli diş macunları ve ağız gargaralarından kaçınılmalıdır, çünkü bunlar lekelenmeye neden olabilir. Diş beyazlatma işleminden sonra dişleri korumak ve güçlendirmek için florürlü diş macunu kullanılması önerilir.
  • Diş beyazlatma işleminden sonra dişleriniz hassaslaşabilir. Aşırı sıcak veya soğuk yiyecek ve içeceklerden kaçınmak en iyisidir, çünkü bunlar rahatsızlığı artırabilir.
  • En iyi sonuçları elde etmek ve dişlerinizin daha uzun süre beyaz kalmasını sağlamak için koyu renkli yiyecekler yerine açık renkli yiyecekleri tercih edin. Çay, kahve, kırmızı şarap, çikolata ve koyu renkli meyveler gibi lekelenmeye neden olabilecek ürünlerden kaçınmanız önerilir.
  • Diş beyazlatma işleminden sonra asitli yiyecek ve içeceklerden kaçınılmalıdır, çünkü bunlar hassasiyeti artırabilir ve diş minesini zayıflatabilir.
  • Tedaviden sonra sigara içilmesi önerilmez, çünkü dişlerde lekelenmeye neden olabilir ve beyazlatma sonuçlarının etkinliğini azaltabilir.

Lazerle Diş Beyazlatma Nedir?

Lazerle diş beyazlatma, gülüşünüzün görünümünü iyileştirmek ve diş renklenmesini azaltmak için güvenli ve etkili bir yöntemdir. Ofis ortamında yapılan kozmetik diş hekimliği uygulamalarından biri olarak, dişlere özel bir beyazlatma jeli uygulanır ve ardından lazer kullanılarak aktive edilir. İşlem, profesyonel gözetim altında bir diş kliniğinde gerçekleştirilir ve kontrollü, hedefli ve hızlı sonuçlar sağlar. Bir diş hekimi tarafından uygulandığı için, lazerle beyazlatma mevcut en güvenli diş beyazlatma seçeneklerinden biri olarak kabul edilir.

Lazerle diş beyazlatmada, eski formülasyonlara göre dişe daha az nüfuz eden modern peroksit jelleri kullanılır, bu da rahatsızlığı en aza indirmeye yardımcı olur. Hassasiyeti daha da azaltmak ve sonuçları iyileştirmek için, işlem sırasında florür ve potasyum nitrat gibi hassasiyet giderici maddeler de uygulanır.

Ek Bilgiler

Türkiye'de Lazerle Diş Beyazlatmanın Maliyeti Ne Kadar?

Tülay Akkol Dental'de, güvenli, etkili ve uzun süreli lazerle diş beyazlatma tedavileri sunmak için en son teknolojiyi ve modern ekipmanları kullanıyoruz. Ortalama maliyet yaklaşık 250 £ civarındadır, ancak ağız sağlığınıza ve ek işlemler gerekip gerekmediğine bağlı olarak 150 £ ile 350 £ arasında değişebilir. Beyazlatma paketine ek ücret ödemeden tam bir profesyonel diş temizliği dahildir, bu da tedaviyi birçok ülkeye kıyasla hem kapsamlı hem de oldukça uygun fiyatlı hale getirir.

Tülay AKKOL

Başhekim

Tülay AKKOL

Başhekim ve Tülay Akkol Dental'in kurucusu Tülay Akkol, diş sağlığı ve bakımı hakkında değerli bilgiler paylaşıyor ve günlük yaşam için pratik ipuçları sunuyor. Makalelerinde ayrıca diş hekimliğindeki en son yenilikleri ve gelişmeleri vurgulayarak okuyucuların sektördeki ilerlemeler hakkında bilgi sahibi olmalarına yardımcı oluyor.